舊年,一套電視劇《都挺好》大受歡迎,而主演之一嘅37歲臺灣男星楊佑寧,事業都因此上一個高峰。

估唔到佢事業愛情雙豐收,今日佢突然間喺社交平臺宣布。與佢交往三年嘅女友準備結婚,而對方已經懷有寶寶。

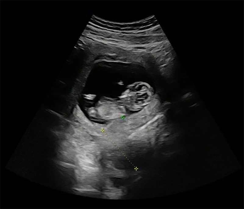
楊佑寧分享喜訊,寫道:“我同我嘅未婚妻Malinda,準備進入人生嘅下一個階段。”然后曬咗兩人親密合照同寶寶嘅B超相。

楊佑寧喺2000年出道,2004年佢憑借電影《就十七歲喇嘅天》榮獲第41屆金馬獎最佳新演員,楊佑寧都有兩次入圍金鐘獎。

楊佑寧近年主要系內地發展,電影《寒戰2》、《俠盜聯盟》、《捉妖記2》等都有佢身影。

楊佑寧出道到而家最出名嘅一段戀情就系與線女星郭采潔,甚至今日官宣時,仲有唔少網友稱仍然停留喺佢同郭采潔嘅拍拖中。

2011年,楊佑寧因為攝影電視劇《向前走向愛行》結識臺灣女藝人郭采潔,兩人拍拖多年,喺2015年3月分手。

楊佑寧喺三年前同女友拍拖,女友Melinda今年30歲,系臺灣某知名護膚品牌設計師。

楊佑寧一直都夢想結婚生子,愿望就系呢個事要喺40歲之前完成。現在突然就實現咗,所以兩個人都開心嘅接受。寶寶預年尾出世。據楊佑寧嘅朋友透露,寶寶啱滿三個月,而楊佑寧好開心向朋友宣布自己要做老豆。

而楊佑寧嘅阿爸表示,自己系琴日先知呢件喜事。楊佑寧爸爸同時話:“生多幾好,生男生女都冇所謂。“

不過兩個人都好低調,對戀情保護得好好,幾乎冇公開show過恩愛。兩個人第一次公開放閃,就系宣布。結婚加大肚嘅喜訊,雙喜臨門都畀網友都覺得好開心。
